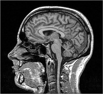
Takes advantage of the magnetic properties of hydrogen, specifically protons in the hydrogen atom.
Used for structural images of the brain.
Excellent spatial resolution.
MRIs can help measure gray matter volume, thickness, and shape, and abnormalities have been documented with some of the most common mental health disorders like depression, ADHD, and anxiety.